Panoramic OP 3D LX
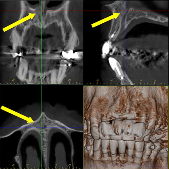
The Panoramic OP 3D LX is an advanced dental imaging system designed to provide a complete, high-resolution view of your entire mouth in a single image. This technology captures your teeth, jawbones, and surrounding structures with remarkable clarity, helping dentists identify issues such as cavities, infections, bone loss, and impacted teeth. Its quick, comfortable process makes it an excellent tool for routine check-ups, pre-treatment evaluations, and surgical planning. The OP 3D LX minimizes patient radiation exposure while maximizing diagnostic accuracy, ensuring a safe and effective experience for every patient.






